研究表明:间充质干细胞(MSC)移植是治疗卵巢早衰最有效的方法
时间:2025-09-25 10:41:22    浏览量:

卵巢早衰(POF)不仅导致不孕,还会增加心血管疾病、骨质疏松症和性功能障碍的发生风险。虽然目前已经采用了各种方法来治疗卵巢早衰,但大多数治疗方法收效甚微。近年来,干细胞移植成为了卵巢早衰治疗的研究热点之一。

研究表明:间充质干细胞(MSC)移植是治疗卵巢早衰(POF)最有效的方法

日前,发表在《Reproductive sciences》《中国组织工程研究》上的中外两篇综述均认为,间充质干细胞(MSC)移植是治疗卵巢早衰(POF)中最有效的方法。

研究表明:间充质干细胞(MSC)移植是治疗卵巢早衰(POF)最有效的方法

01、卵巢早衰的病因及现状

卵巢功能早衰(POF)是指女性40岁之前由于多种病因出现卵巢功能衰竭,表现为雌激素缺乏、促性腺激素水平升高等指标变化,病情则以闭经或者不孕为主。近年来卵巢早衰呈上升和年轻化趋势。

研究表明:间充质干细胞(MSC)移植是治疗卵巢早衰(POF)最有效的方法

该病的诊断标准是指:40岁以前出现至少4个月以上闭经, 并有2次或促卵泡激素FSH>40IU/L(两次检查间隔1个月以上),雌二醇<73.2pmol/L。卵巢早衰的发病率在育龄女性中超过1%,在原发性闭经女性中其患病率高达10-28%,在继发性闭经女性中约为4-18%。患有卵巢早衰的女性在身体和精神上都受到严重影响,必须面对不孕症、闭经、骨质疏松症、一些心血管疾病等。

卵巢早衰主要与窦卵泡和颗粒细胞活性低有关,这导致血清中雌激素水平低。激素替代疗法(HRT)仍然是主要的治疗方法,它在一定程度上改善了由低雌激素水平引起的骨质疏松症的症状,但是会增加患癌症的风险,如乳腺癌和子宫内膜癌等疾病。

干细胞被喻为“万能细胞”,近年来颇为火热,成为科学家们探索难治性疾病的新选择。多项干细胞治疗年轻女性卵巢早衰的临床结果表明:干细胞可以让卵巢早衰女性恢复生育能力,改善更年期症状。

研究表明:间充质干细胞(MSC)移植是治疗卵巢早衰(POF)最有效的方法

02、干细胞有效恢复患者卵巢功能,改善更年期症状

研究表明:间充质干细胞(MSC)移植是治疗卵巢早衰(POF)最有效的方法

表1:卵巢的治疗方案、分子机制和生物学效应总结

干细胞具有自我修复和再生的能力,最近对卵巢早衰动物模型以及人体试验的研究表明,多种干细胞移植治疗都可以改善卵巢结构和功能,因此干细胞移植可能是卵巢早衰的有效治疗方法。

研究表明:间充质干细胞(MSC)移植是治疗卵巢早衰(POF)最有效的方法

表2当前POI治疗的临床结果

1)脐带间充质干细胞(UCMSC)

脐带间充质干细胞(UCMSC)是多能、非造血祖细胞,可以分化成多个细胞系。而且与其他间充质干细胞资源相比,从人脐带收集间充质干细胞的方法更快且无痛。

动物试验表明,脐带间充质干细胞移植能够恢复卵巢早衰小鼠卵巢功能和生育潜力,使其FSH水平显著降低、血清AMH水平升高。脐带间充质干细胞的作用机制可能是由于卵巢血管生成的增加,促进了颗粒细胞增殖和卵泡的生长发育。

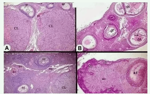
南京大学医学院在脐带间充质干细胞复合胶原卵巢移植的方式治疗卵巢早衰所致的不孕症的研究结果表明:胶原/脐带间充质干细胞移植能够改善患者的卵泡活化和卵泡生长,并有助于卵巢功能的长期恢复,包括卵巢血流和雌二醇水平。而且,有2例患者在移植后成功受孕。

胶原/脐带间充质干细胞移植术后卵巢功能恢复。

研究表明:间充质干细胞(MSC)移植是治疗卵巢早衰(POF)最有效的方法

2)胎盘衍生干细胞(hPMSC)

人胎盘来源的间充质干细胞(hPMSC)也属于多能、非造血祖细胞,具有高度分化和增殖潜力。与其他类型的干细胞相比,人胎盘来源的间充质干细胞也很容易获得。

动物试验中,静脉注射胎盘衍生干细胞(hPMSC)的小鼠主要通过两种途径恢复卵巢内分泌功能:增加小鼠转化生长因子β(抑制炎症并有助于卵巢功能的恢复)和减少干扰素γ(抑制排卵并促进滤泡闭锁)。

研究表明:间充质干细胞(MSC)移植是治疗卵巢早衰(POF)最有效的方法

3)骨髓间充质干细胞

骨髓间充质干细胞(BMSC)是一种免疫原性低的成体干细胞,与其他干细胞类似,具有增殖和多能分化潜力,并且在适当的条件下,能够分化成骨骼、软骨和脂肪细胞。具有增强内源性细胞功能和调节免疫反应方面的作用,能被用于修复组织损伤。

此外,骨髓间充质干细胞(BMSC)易于在体外分离和生长。多项临床试验表明,患有POI的女性通过自体骨髓间充质干细胞移植疗法,升高了基线雌激素水平、改善了更年期症状甚至成功受孕。

芝加哥第100届年会 ENDO 2018公布了一项利用自体骨髓干细胞治疗年轻女性的卵巢早衰的研究结果。研究中有2名患者血清激素水平在注射干细胞后3个月开始显著增加,效应至少维持了一年,她们的更年期症状也已经被完全消除!另外,也有6名参与者的月经周期也恢复了正常。

研究表明:间充质干细胞(MSC)移植是治疗卵巢早衰(POF)最有效的方法

干细胞疗法可能有助于逆转更年期的影响,恢复生育能力

干细胞治疗后,卵巢体积、各级卵泡数等都明显增加

研究表明:间充质干细胞(MSC)移植是治疗卵巢早衰(POF)最有效的方法

结果显示:接受治疗的一侧卵巢相比对照侧卵巢体积有明显增大,而且患者接受干细胞治疗后也没有出现明显的副作用。

03、干细胞治疗卵巢早衰前景广阔

卵巢早衰(POF)极大地影响了年轻女性的身心健康,目前主要通过激素疗法来减轻雌激素缺乏症的症状,但疗效欠佳。干细胞具有自我改善和再生的潜力,可以改善卵巢功能、增加卵泡数量、提高性激素水平、减少颗粒细胞凋亡,可用于治疗卵巢早衰(POF)和不孕症。

此外,大量的研究数据和临床表现证明,对于正常女性临近更年期,或者有延缓卵巢衰老的需求都可以接受干细胞治疗。

卵巢早衰是当今医学的一大难题,目前我国已启动5项干细胞临床研究项目,医学工作者正在全面而深入地评价干细胞治疗恢复卵巢功能的安全性和有效性。干细胞治疗卵巢早衰或可成为患者的新选择,为卵巢早衰引起的绝经、不孕不育等女性患者带来福音,帮助女性留住年轻芳华。

【北京细胞中心】

— 感谢 · 阅读 —

你与北联只差一个二维码的距离

研究表明:间充质干细胞(MSC)移植是治疗卵巢早衰(POF)最有效的方法

X